More Than 5,000 Happy Users!
#1 Trusted Implant Solution for Single & Multiple Missing Teeth
Permanent, natural-looking replacements designed to restore function, health, and confidence, without discomfort or downtime.
Replace One or Many Missing Teeth with Precision-Engineered Dental Implants
Fix unwanted gaps, prevent jawbone loss, and live without fear of dentures slipping or falling out.
At Pristine Dental Group, we understand how a single missing tooth or several can impact more than just your appearance. It can affect your bite, confidence, speech, and even your nutrition.
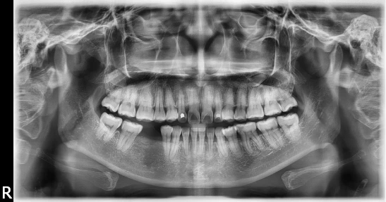
That’s why we offer bespoke implant solutions using advanced implant technology and 3D planning tools to replace missing teeth with strong, natural-looking alternatives. Whether you’re replacing one tooth or rebuilding your smile, our award-winning clinical team will restore your ability to eat, speak, and smile with confidence, without the pain, mess, or embarrassment of traditional dentures
“No more loose dentures. No more missing or damaged teeth.
Get your life back with full-arch implants”
With Single & Multiple Dental Implants, you can:
- Replaces one tooth or multiple, securely and permanently
- Prevents bone loss
- Preserves your natural facial structure
- Helps you chew, speak, and smile without pain or restrictions
- No messy adhesives or removable loose dentures
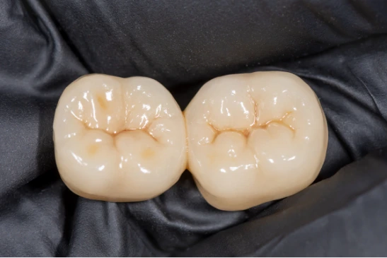
- Designed to blend seamlessly with your natural teeth
- Stops surrounding teeth from shifting or weakening
- Backed by 3D imaging and expert care
If you’ve been told dentures are your only option, then THINK AGAIN!
Book a free consultation today and know how implant dentistry can’t just improve your smile, but also your quality of life.
More than 8,000 Smiles Transformed by
Pristine Dental Implants in London
I had been living on soup and soft food for years because my dentures always slipped. After getting implants with Pristine, I feel like I’ve got my life back. No more discomfort, no more glue, just real teeth that work and feel amazing.
Mark, 58 – Replaced 4 Lower Molars
Losing a front tooth made me so self-conscious that I avoided people. From the consultation to the final smile, the team was kind, honest, and professional. The implant looks so natural, nobody can tell. It gave me my confidence back.
Ayesha, 43 – Single Front Tooth Implant
I spent years ignoring my teeth. When my old denture started hurting, I finally went to Pristine. I was nervous, but the care was incredible. Now I eat steak, smile confidently, and feel 10 years younger.
Derek, 65 – Upper Implant Bridge
How iT WORKS
From Consultation to Confidence in Just a Few Steps
Step 1
Free Smile Assessment & 3D Scan
Step 2
Precise Implant Placement
Step 3
Attach Custom Crown or Bridge Fit
Step 4
Ongoing Care & Check-Ups
Living Without Teeth Isn’t Living Fully
Why You Might Need a Single & Multiple Dental Implants
If you’re experiencing any of the following, it may be time to consider implants:
- ✓ Missing one or more teeth due to trauma, decay, or gum disease
- ✓ Loose or uncomfortable dentures that shift or cause pain
- ✓ Difficulty chewing certain foods or avoiding your favourite meals
- ✓ Visible gaps in your smile affecting confidence or speech
- ✓ Bone loss or facial sagging, causing premature ageing
- ✓ Low self-esteem when laughing, speaking, or taking photos
Teeth around the gap can shift, causing misalignment and further issues.
Dental implants stop this process, restore natural function, and help you smile confidently for life.
We Believe Everyone Deserves a Confident,
Healthy Smile at an Affordable Treatment Range!
Explore our clear pricing options below and ask us about 0% finance and tailored treatment packages made to fit your budget.
|
GOLD
|
PLATINUM
|
DIAMOND
|
|
|---|---|---|---|
| Implants | All on 4 | Pterygoid | Pterygoid |
| Sedation | YES | YES | YES |
| Bridge | Titanium / Acrylic Wrap | Titanium / Acrylic Wrap | Titanium / Zirconia |
| Guarantee | 3 Years | 3 Years | 3 Years |
| Upper Jaw | £9,500 | £12,500 | £14,500 |
| Lower Jaw | £9,500 | £9,500 | £11,500 |
| Double Jaw | £18,800 | £21,000 | £25,000 |
Here’s the Results of Pure Love & Dedication of the Pristine Dental Group
Book your FREE Consultation
Same-Day Appointments Available. Transparent Pricing, No Hidden Fees.
Considering Implants?
Here’s What You Need to Know
From a single gap to a full smile, we’re here to answer your biggest questions with honest, expert insight.
We understand you may feel nervous about surgery, unsure if implants are worth the investment, or worried they’ll be painful or complicated.
But you know what?
Most patients wish they had done it sooner. Dental implants are a safe, proven solution trusted by millions worldwide, and we’ve helped hundreds just like you get their confidence back. If you’ve been putting it off or feeling stuck with dentures or missing teeth, this is your sign. Let’s put your fears to rest and give you the clarity you need.
What are dental implants and how do they work?
Dental implants are strong titanium posts that replace the root of a missing tooth. Once placed into your jawbone, they fuse naturally and support a crown, bridge, or denture, restoring natural function and aesthetics with long-lasting stability.
Can a single implant really replace one missing tooth?
Yes! A single implant is a brilliant solution for replacing one tooth lost due to injury, decay, or extraction. It functions independently without relying on neighbouring teeth, preserving your natural smile and bite structure.
What if I’ve lost several teeth in a row?
If you’re missing multiple teeth, we can use individual implants or an implant-supported bridge. This ensures the gaps are filled securely, helping you chew, smile, and speak confidently again, without the discomfort of removable options.
Can you replace a full row of teeth with implants?
Absolutely. For patients needing a full upper or lower arch replaced, we offer solutions like All-on-4 or Same-Day Implants, fixed teeth in one appointment, no removable dentures required.
Are dental implants painful to get?
Most patients are surprised by how comfortable the procedure is. We use local anaesthetic and gentle, precise techniques. Discomfort is typically mild and short-lived, much like having a filling. Recovery is often easier than expected.
How long do dental implants last?
With proper care, dental implants can last decades, even a lifetime. They’re designed to be a permanent solution, offering unbeatable strength and function compared to traditional dentures or bridges.
still Nervous About Major Dental Work?
Meet the Team Behind Your Dream Smile!
Dr. Shabeeb Paktiawal
BDS, PG Diploma in Implant & Restorative dentistry
Chantelle Herrera
Dental Nurse
Anamaria Romeghea
Dental Nurse