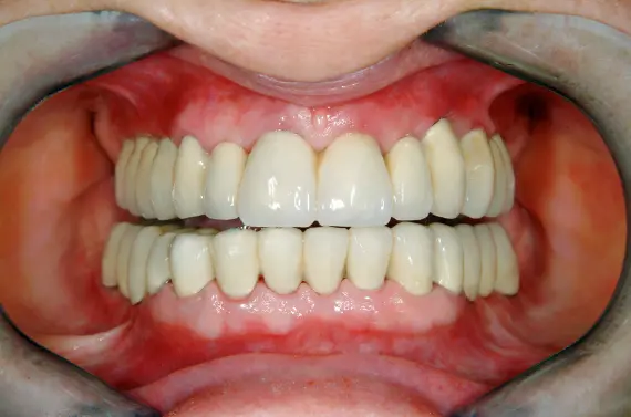
Same Day Smiles With Teeth-In-A-Day Dental Implants
One-Day Surgery.
4 Dental Implants.
1,000 Reasons to Smile Again!
Replace missing teeth with fixed, beautiful arches designed PERMANENTLY! NO adhesives, NO slipping.
Tired of dentures that slip or fall out?
Do you feel embarrassed when eating or smiling in public?
We heard YOU! ... and Full Arch Implants could be the life-changing solution you’ve been searching for years.
Full Arch Dental Implants are a permanent, fixed alternative to traditional dentures, designed for patients missing most or all teeth in the upper or lower jaw. This treatment uses 4 to 6 titanium dental implants strategically placed into the jawbone to support an entire row of new, natural-looking teeth.
Can we secure a full arch prosthesis on the same day as the surgery? … Well, DEFINITELY!
We guarantee your smile, chewing ability, and confidence, without waiting months for results. They’re fixed, stable, comfortable, and unlike removable dentures, they don’t move or fall out when you eat or speak. With Pristine Dental Group, you’ll benefit from expert-led care using advanced digital technology and access to more complex options like Zygomatic and Pterygoid implants, making even the most difficult cases treatable.
“No more loose dentures. No more missing or damaged teeth.
Get your life back with full-arch implants”
With Full Arch Dental Implants, you can:
- Restore a full set of teeth with just 4–6 implants per arch
- Enjoy a brand-new smile in just 1 day
- No waiting months
- No uncomfortable, loose dentures for good
- Improved stability and strength with every bite
- Maintain a youthful facial appearance
- Get tailored treatment (Zygomatic & Pterygoid options)
- Backed by 3D imaging, digital precision, and specialist expertise
If you’ve been told dentures are your only option, then THINK AGAIN!
Book a free consultation today and know how implant dentistry can’t just improve your smile, but also your quality of life.
More than 8,000 Smiles Transformed by
Pristine Dental Implants in London
Beverley Magnani
I attended this practice for a single dental implant surgery and must admit to say that I wasn’t looking forward to the procedure and was feeling a little bit nervous. However, they were able to put me at ease and alleviate any worries I had. It was explained clearly and precisely what they were going to do and how much it would cost. The procedure itself was quick and painless.
The staff are friendly yet professional and the practice is ultra modern with all the latest gadgets. I found the atmosphere to be soothing and relaxing which all added to making this a most positive experience.
Beverley Magnani
I attended this practice for a single dental implant surgery and must admit to say that I wasn’t looking forward to the procedure and was feeling a little bit nervous. However, they were able to put me at ease and alleviate any worries I had. It was explained clearly and precisely what they were going to do and how much it would cost. The procedure itself was quick and painless.
The staff are friendly yet professional and the practice is ultra modern with all the latest gadgets. I found the atmosphere to be soothing and relaxing which all added to making this a most positive experience.
Beverley Magnani
I attended this practice for a single dental implant surgery and must admit to say that I wasn’t looking forward to the procedure and was feeling a little bit nervous. However, they were able to put me at ease and alleviate any worries I had. It was explained clearly and precisely what they were going to do and how much it would cost. The procedure itself was quick and painless.
The staff are friendly yet professional and the practice is ultra modern with all the latest gadgets. I found the atmosphere to be soothing and relaxing which all added to making this a most positive experience.
How Full Arch Implants WORK
Worried about long healing times or walking around toothless after surgery? WE GOT YOU!
Step 1
Precise Planning & Implant Placement
We begin with a 3D scan of your mouth to map the perfect implant positions. Then, 4-6 titanium implants are gently placed into the jawbone, these act as solid roots for your new smile.
Step 2
Same-Day Temporary Smile
You’ll leave with a fixed temporary prosthetic on the same day of your surgery. That means no gaps, no embarrassment, and you can still talk, eat soft food, and smile confidently while healing begins.
Step 3
Healing Phase & Integration
Over the next few months, your implants bond naturally with your bone, a process called osseointegration. This ensures long-term strength and stability.
Step 4
Your Final, Permanent Smile
Once healing is complete, we replace your temporary teeth with a custom-designed, natural-looking full arch prosthesis made just for you. Strong, comfortable, and made to last.
Advanced Implant Options for Complex Cases
Zygomatic Implants
For patients with severe bone loss, we use longer implant screws placed into the zygomatic (cheek) bone, providing a stable anchor.
Pterygoid Implants
These unique, longer implants are securely placed in the pterygoid bone, located behind the maxillary sinus, for patients who require additional support.
Why You Might Need Full Arch Dental Implants?
If you’re struggling with multiple missing, loose, or severely damaged teeth, full arch dental implants might be the life-changing solution you’ve been searching for.
You may need full arch implants if:
- ✓ Dentures no longer fit well or keep slipping out
- ✓ You’ve lost most or all teeth in the upper or lower jaw
- ✓ Your face is starting to sag due to bone loss
- ✓ You’re avoiding foods because chewing is painful or difficult
- ✓ You’ve been told you don’t have enough bone for standard implants
At Pristine Dental Group, we help you reclaim your quality of life with stability, comfort, and a beautiful full smile in just one day.
How Much Do Full Arch Dental Implants Cost?
The cost of Full Arch Dental Implants depends on the complexity of your treatment, but rest assured, we offer exceptional value without compromising on quality. 0% finance up to 24 months.
| TREATMENT OPTION | DURATION | FEE | DEPOSIT |
|---|---|---|---|
| Implant Consultation | 20 minutes | Free | £5 (refunded on attendance) |
| Implant (including crown) | 60 minutes | £1499 | £15 (deducted from fee) |
|
CORE
|
Advanced
|
PLATINUM
|
|
|---|---|---|---|
| Full Arch Implants | £5,995 (per arch) |
£8,995 (per arch) |
£11,995 (per arch) |
| Implant Protocol | All-on-4 | All-on-6 with Pterygoid support |
All-on-6 with Pterygoid & Zygomatic support |
| Warranty | 10 years | 15 years | Lifetime |
| Finance Options | 0% finance up to 24 months | 0% finance up to 24 months | 0% finance up to 24 months |
Book your FREE Consultation
Same-Day Appointments Available. Transparent Pricing, No Hidden Fees.
Considering Implants?
Here’s What You Need to Know
From a single gap to a full smile, we’re here to answer your biggest questions with honest, expert insight.
We understand you may feel nervous about surgery, unsure if implants are worth the investment, or worried they’ll be painful or complicated.
But you know what?
Most patients wish they had done it sooner. Dental implants are a safe, proven solution trusted by millions worldwide, and we’ve helped hundreds just like you get their confidence back. If you’ve been putting it off or feeling stuck with dentures or missing teeth, this is your sign. Let’s put your fears to rest and give you the clarity you need.
What are full arch dental implants?
Full arch implants replace all the teeth in your upper or lower jaw using just 4-6 implants. These implants support a fixed prosthesis, giving you a secure, natural-looking smile that doesn’t come out.
Can I really get a new smile in just one day?
Yes! Thanks to “Teeth-in-a-Day” technology, we can place implants and fit you with a temporary fixed smile on the same day. You’ll leave with a full set of teeth, never toothless.
I’ve been told I don’t have enough bone for implants
We offer advanced techniques like Zygomatic and Pterygoid implants, which anchor to alternative parts of the bone. Even in complex cases, we often have a solution.
How long do full arch implants last?
With proper care, full arch dental implants can last 15 years or more. Regular check-ups, good hygiene, and avoiding smoking will help maintain them long term.
Is the procedure painful?
Most patients report minimal discomfort. We use local anaesthetic and offer sedation options to keep you relaxed and pain-free during the entire procedure.
How much does full arch implant treatment cost?
Prices vary depending on your specific needs, but we offer transparent packages with 0% finance and quick WhatsApp quotes. Book your consultation to receive a full breakdown.
still Nervous About Major Dental Work?
Meet the Team Behind Your Dream Smile!
Dr. Shabeeb Paktiawal
BDS, PG Diploma in Implant & Restorative dentistry
Chantelle Herrera
Dental Nurse
Anamaria Romeghea
Dental Nurse